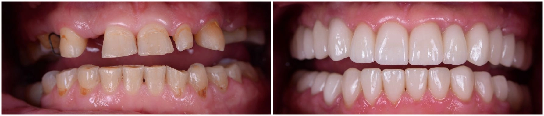
Explore the transformative power of dental treatments at Implant and Sedation Dentistry of Charleston. Led by Dr. Ryan Gilreath, DMD, our gallery showcases the dramatic results achieved through our expert care. Witness how we’ve enhanced smiles and confidence for our patients in Charleston.





For a closer look at what we can do for your smile, call us today at 843-501-1965.